添加链接
link之家
链接快照平台
  • 输入网页链接,自动生成快照
  • 标签化管理网页链接

罕见! BMC Infect Dis:成人流感患者急性坏死性脑病,亚洲人群高发,如何抵御…



流感,作为一种极具传染性的传染病,对卫生服务体系构成了沉重的负担。其季节性流行在全球范围内引发了约10亿例病例,其中包含300万至500万例重症病例,死亡率高达10%。在台湾,疾病控制中心的数据揭示,在 COVID-19 疫情爆发之前,每年每10万人中便有3.5至9.5例因流感而出现严重并发症的病例。


流感的危害不仅限于此,还可能引发神经轴的多种并发症,其中最常见的是癫痫发作及流感相关脑病。较为罕见或稀有的病症则涵盖脑膜炎、中枢神经系统脱髓鞘、Reye综合征、中风、格林-巴雷综合征及胃病。流感相关的神经系统并发症主要侵袭儿科患者,据统计,因流感住院的儿童中,高达7.6%至16.9%会遭遇此类并发症。同时,亚洲种族已被确认为流感相关神经系统并发症发生的高风险群体。


在流感相关脑病的范畴内,急性坏死性脑病(ANE)是一种罕见的脑部疾病,其特征为多发性对称性脑部病变、精神状态改变伴随快速进行性神经系统恶化,以及显著的神经系统后遗症或高死亡率。ANE通常在感染多种病毒后发生,包括甲型和乙型流感、 SARS-CoV-2 、肠道病毒、人疱疹病毒6型(HHV-6)及 登革热 病毒,极少情况下亦可见于 肺炎 支原体感染。然而,鲜有证据表明感染性病原体直接侵袭大脑。在某些个案中,ANE可能自发发生、复发或与家族史相关,这暗示了潜在的遗传倾向。与此相呼应,RANBP2的突变被发现与一种特定类型ANE的发展密切相关,即ANE1。


ANE于1995年首次在日本儿童中发现,主要影响亚洲儿科人群,尤其是5岁以下的儿童。相较之下,现今仅有数量有限的流感相关ANE成人病例被报告。 台湾高雄市长庚纪念医院暨长庚大学医学院 报告了一例既往感染甲型流感病毒并罹患ANE的成年患者,该患者随后接受了 类固醇 及抗细胞因子治疗并得以幸存,同时,该报告还总结了对成人流感相关ANE病例文献回顾的发现。


图片

doi:10.1186/s12879-024-09844-6


病例报告


患者是一位44岁台湾女性,曾有甲状腺肿大病史,于2023年8月突感头痛、发热、喉咙痛、咳嗽及淋病症状。症状初现第三日,经快速咽拭子检测确诊为甲型流感感染,随即接受吸入扎那米韦治疗。翌日,因意识骤变及反复强直性阵发性癫痫发作,紧急送至服务中心。


患者格拉斯哥昏迷量表(GCS)评分为E1V1M4,体温37.2℃,血压112/52 mmHg,心率95/分钟。血液检查显示白细胞计数7100/μL(中性粒细胞百分比87.7%),C反应蛋白水平7.89毫克/升(正常<5),谷草胺转移酶水平41 U/L(正常<34),谷丙氨转移酶水平24 U/L(正常<36),氨浓度72 μg/dL(正常<96),肌氨浓度0.61mg/dL。


脑部CT影像揭示 两侧大脑半球多发皮质下低密度病变 。脑脊液(CSF)分析显示单核细胞1/μL,红细胞1080/μL,蛋白质水平升高(77mg/dL),葡萄糖(84mg/dL)及乳酸盐(18.3 mg/dL)水平正常。因呼吸衰竭,需气管内插管行机械通气。


治疗方案包括劳拉西泮与 左乙拉西坦 (针对癫痫持续状态)、帕拉米韦(针对严重并发性流感)及头戴磺胺(针对疑似成人细菌性 脑膜炎 的经验性抗生素)。


患者于神经系统发作次日转入神经科重症监护室。脑电波检查呈现广泛连续的θ活动。癫痫发作活动虽经治疗后消退,神经系统状况仅略见改善(GCS E3VeM4)。

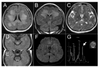
脑部MRI影像显示 双侧大脑半球白质、脑白质、脑白质及右侧中脑梗中广泛T2及FLAIR高信号病变 (图1A-E), 部分病变包含扩散受限区域 (图1F);

质子磁共振光谱显示 白质病变中乳酸峰强度增加 (图1G)。

自身免疫性脑炎小组的自身抗体检测呈阴性。


检测病原体: 对患者CSF进行 细菌培养 、病毒分离及 单纯疱疹病毒 (SV)与水痘带状病毒(VZV)的DNA检查,并使用Mirror Meningitis/Enceidis Panel(bioMérieux,France)检测 巨细胞病毒 、肠道病毒、SV-1、SV-2、VZV、人疱疹病毒6、人双曲病毒、E.大肠杆菌K1、流感嗜血杆菌、单核细胞增生李斯特菌、脑膜炎奈瑟氏菌、无乳链球菌、肺炎链球菌及新型隐球菌/加特蒂。日本脑炎病毒与登革热病毒的血清学检测均呈阴性。 CSF中各类传染性病原体的细菌培养、病毒分离、血清学检测及基因组PCR均为阴性。


初诊考虑急性弥漫性脑脊髓炎(ADEM),并于第5日启动 类固醇治疗 (甲泼尼龙1 g/天,持续5天,后口服泼尼龙1 g/kg体重/天)。第9日重复脑部核磁共振亦见类似发现。第11日,虽持续类固醇治疗,血液检查显示白细胞素-6(IL-6)水平仍升高(46.7pg/ml,正常<7)。


综合上述发现,结合先兆病毒感染、脑部MRI发现及排除传染性脑炎,确诊为甲型流感相关ANE。


针对诊断 ,静脉注射托珠单抗400毫克 (2mg/kg体重), 并继续口服泼尼龙治疗。 患者迅速清醒,两日后能自发睁眼。


第17日,拔除气管内导管及机械通气。


第18日出现产气克雷伯氏菌尿路感染,经头戴派酮/舒巴坦治疗一疗程后症状消退。




患者残留神经功能缺陷严重。患者呈现运动不动症(GCS E4V1M4),伴全身痉挛、僵硬及反射过度,一月后出院时需轮椅代步。需一人协助方能站立,改良兰金量表评分为4分,出院三个月后神经系统检查结果依旧。


图片

图1 A-E脑部MRI显示双侧大脑半球、脑白质、脑白质中弥漫且大致对称的T2和FLAIR高信号病变(A、B、D、E、FLAIR; C、T2加权图像)

存在小区域的限制扩散(F,扩散加权图像)。1H磁共振光谱显示大脑白质病变中乳酸峰强度增加(G,箭头)


随后,医院通过RT-PCR证实患者感染了 甲型流感(H3N2)pdm09毒株


为了研究ANE的遗传易感性,对HLA和CPT2进行了基于序列的基因分型。研究表明,该患者携带杂合HLA-DQB1 1 03:03和HLA-DRB1 09:01基因,并且在CPT2中p.lIe368和p.Met647为纯合, 所有这四种变体均与ANE风险增加有关。


病例讨论



流感相关ANE成人病例的文献回顾


在PubMed和Google Scholar数据库中,研究人员系统地检索了自1995年(即急性坏死性脑病首次被描述的年份)以来,所有涉及“急性坏死性脑病”、“流感”和“成人”的文献,检索范围不受语言限制。


经过去重处理并纳入最新病例后,共识别出 22例 流感相关急性坏死性脑病的成年患者(年龄均大于18岁),其中男性患者11例,女性患者11例,另有一例患者在儿童时期曾有急性坏死性脑病发作史(表1)。患者的年龄跨度为22岁至71岁,中位年龄为47岁。


在已知流感类型的20例患者中,15例为甲型流感,5例为乙型流感。在9例接受甲型流感病毒分型的患者中,7例检测出H1N1亚型,2例检测出H3N2亚型。


表1 成人流感相关ANE病例的临床特征、治疗和结局

图片

图片

图片

ALT谷丙氨酶、ANE急性坏死性脑病、AST谷氨酶、C反应蛋白、CSF脑脊髓液、F女性、IVIg静脉注射免疫球蛋白、M男性、NA不可用、RBC红细胞、WBC白细胞

a流感症状出现后


ANE发病与先兆流感之间的中位数间隔为3天(范围为0至9天,18名患者的数据可用)。主要的临床表现是意识障碍(68%)、心态或行为改变(50%)和抽搐性癫痫发作(36%)。最常见的神经影像学异常是丘脑急性炎症(91%),通常受双侧影响,其次是大脑半球(59%)、脑梗(50%)、小脑梗(36%)、底神经节(18%)和胼胝体(14%)。


关于CSF研究(在17名患者中进行), 蛋白质水平升高 (>45mg/dL)是最常见的异常(14名患者,82%),而白细胞增多症(>5/mm 3)仅在5名(29%)患者中发现。


免疫治疗方面,9名患者接受了皮质类固醇和静脉注射免疫球蛋白(IVIg)联合治疗,9名患者仅接受皮质类固醇,1名患者仅接受IVIg。


本文报告的患者是唯一接受托珠单抗治疗的病例。


7名患者在疾病急性期死亡,死亡率为32%。接受皮质类固醇、静脉注射免疫球蛋白或两者联合治疗的患者存活率为74%,而未接受免疫治疗的患者存活率为33%,这表明与任何免疫治疗相关的生存率增加趋势在统计学上不显著(OR5.6,95%CI 0.41-76; p=0.163)。


遗憾的是,关于该疾病的样本量很小,而且这些患者的免疫治疗时机、类型和持续时间差异很大。与与流感或其他病原体相关的ANE儿科病例相比,这些与流感相关的ANE成人病例在流感和ANE的发病间隔、临床表现、脑部图像、CSF概况或死亡率方面没有明显差异。



ANE的临床表现


感染病原体种类繁多,然而副感染性急性坏死性脑病(ANE)的临床、放射学及实验室特征相对固定。临床上,多数ANE患者可明确识别出三个连续的临床阶段。在初期阶段,患者呈现 急性病毒感染的全身症状,以呼吸道症状为主 ,伴随发热、头痛、肌痛及全身不适等表现,但意识状态保持正常。此阶段脑部影像学检查通常无异常发现。


初期症状持续数日后,患者骤然进入急性脑病期。 此阶段以迅速进展的神经功能障碍为特征,表现为精神状态及意识水平的恶化,常伴有癫痫发作及局灶性神经功能缺损。影像学上,此阶段典型表现为 大脑皮质、白质、深部灰质及小脑等多部位对称性炎症性病变 ,尤以 双侧视丘受累 最为常见且具特异性。病变区域偶见点状出血。部分病例可并发急性多器官功能损害,如肝、血液及肺功能障碍。该病病死率较高,可达25-40%。


虽然部分幸存者能在数周内逐渐恢复,但多数患者仍遗留严重的神经系统后遗症。



ANE的诊断


ANE的诊断标准由Muzuguchi于1997年提出,这项标准重点关注病毒感染后的神经系统并发症,排除了几种临床模拟症状,涵盖了特征性临床表现(快速意识交替、抽搐)、大脑成像特征(对称性多灶性病变,伴有双侧视丘病变),CSF研究结果(蛋白质水平增加,而无白细胞增多症)和全身受累(血清谷氨转移酶水平增加,氨升高)。目前,它仍然广泛应用于自发性或感染引发的ANE的诊断。


ANE的鉴别诊断涵盖了几乎所有感染后中枢神经系统的并发症,其中ADEM、Reye综合征和传染性脑炎是首要考虑的疾病。ADEM与ANE在临床表现上存在许多相似之处,如意识障碍的快速进展、精神状态改变、癫痫发作以及多发性脑损伤。


ANE常发生于病毒感染的早期发热阶段,ADEM则通常在感染的初始症状和体征消退后数天内(平均12.5天)出现。 与大多数ANE病例中脑脊液(CSF)的正常细胞计数不同,ADEM患者的CSF分析常显示中性粒细胞增多。


在神经影像学方面,ANE中的多发性脑部病变通常呈对称分布,且双侧视丘受累具有高度特异性。相比之下, ADEM的双侧脑部病变多为不对称,且仅有30-50%的ADEM患者存在双侧丘体病变。


鉴别:Reye综合征

该疾病表现出与ANE相似的临床特征,但Reye综合征最常见的实验室检查结果是发病后1至2天内出现的高氨血症,有时伴有低血糖和凝血功能障碍。这些发现并不存在于ANE患者中。Reye综合征的影像学和病理学研究仅显示弥漫性脑肿胀,而神经影像学中的 多灶性病变 对于ANE的诊断极为重要。


ANE可通过特异性抗体检测、微生物培养或分离,或直接检测CSF中的病原体基因组与传染性脑膜脑炎相区分。



ANE的发病机制


ANE的发病机制目前尚未完全阐明,但先天免疫系统对病毒感染的过度反应,导致促炎细胞因子不受控制地大量产生(即 “细胞因子风暴” ),被认为是其主要机制之一。参与ANE的细胞因子可能包括多种白细胞因子、干扰素和趋化因子,其中IL-6和肿瘤坏死因子-α尤为显著。体内和体外研究表明,向脑血管内注入IL-6和肿瘤坏死因子-α可引起血管扩张、内皮细胞紧密连接的破坏,进而导致血脑屏障(BBB)的损伤。


与此一致的是,ANE患者的脑活检和尸检病理结果显示,虽然存在明显的脑实质异常(如出血性或凝固性坏死、肿胀和轴突损伤),但淋巴细胞或嗜中性粒细胞的浸润或脱髓鞘现象极为轻微,且通常不伴有脑脊液(CSF)白细胞增多。


除了破坏BBB的完整性外,过量的细胞因子还可能导致兴奋毒性神经元损伤、免疫细胞的过度激活以及次级器官的损伤。 小胶质细胞的启动 (即小胶质细胞的增殖和激活)也可能是ANE的基础。启动后的小胶质细胞对次级炎症刺激的敏感性增加(如外周细胞因子的释放),这可能诱发过度的免疫反应。已有研究证实,这种机制与非嗜神经流感病毒株(如H1N1和H3N2)相关的神经并发症有关。


临床上,血清IL-6水平升高与脑干功能障碍的发生相关,而脑干功能障碍与ANE患者死亡风险的增加密切相关。



ANE的患者的遗传因素


遗传背景可能导致东亚人群发生ANE的原因。在东部种族中频率最高的HLA DQL 1 03:03和DRB1 09:01基因型和不耐热的CPT2变体与ANE有关。


本文报告的患者携带两个HLA基因和两个ANE纯合CPT2风险变体。


HLA基因控制抗原提呈,是人类免疫系统的重要组成部分。卡尼汀棕榈酸转移酶II是由CPT2编码的蛋白质,是长链脂肪酸氧化所必需的线粒体酶之一。线粒体功能障碍和能量缺乏可能是ANE BBB破坏和脑肿胀的基础。


另一方面, ANE1(由RANBP2突变引起的ANE)外显率与 环境触发因素 之间具有关联 :一名白人婴儿出生后几个月居住在东亚并在返回西方国家三个月后患上HHPV-6相关ANE的病例报告表明环境因素在ANE发生的易感性中发挥了作用。


我们仍需要更多的研究来阐明ANE发育中传染性病原体与遗传或环境因素之间相互作用的复杂性。



ANE的患者的治疗


目前尚无明确的ANE管理指南,但多数推荐的治疗方案涉及早期联合免疫治疗。回顾性病例系列研究显示,发病后24小时内给予皮质类固醇(如甲泼尼龙或地塞米松)与更佳的预后相关。常见的联合免疫调节治疗包括静脉注射免疫球蛋白(IVIg)和血浆透析。


鉴于细胞因子在ANE发病机制中的潜在关键作用,抗细胞因子治疗被视为ANE的合理治疗策略。


托珠单抗作为一种阻断IL-6受体的单克隆抗体,已被证实能显著降低IL-6水平,并成为ANE的新兴疗法。本文的病例报告及一项小型非对照研究结果表明, 托珠单抗可能与皮质类固醇具有协同效应,且在病程早期给药可能对重度ANE有效 。表格,托珠单抗是否能降低死亡率、是否会造成严重神经系统后遗症等风险仍未明确。


结 论


流感的神经系统并发症主要波及亚洲儿科群体。在流感相关脑病范畴内,急性坏死性脑病(ANE)乃一种迅猛进展且具爆发性的脑部疾患,与显著的神经系统后遗症及高死亡率紧密相连。迄今,仅寥寥数例流感相关ANE的成人病例见诸报道。台湾高雄市长庚纪念医院暨长庚大学医学院曾详述一例44岁女性,其意识障碍迅速恶化,并伴有反复全身抽搐。该患者于发病前三日确诊流感,后证实感染甲型(H3N2)流感pdm09。基于特征性脑部MRI影像、中枢神经系统感染的排除以及血清白细胞因子6水平升高,ANE得以确诊。经脉冲类固醇治疗后,继以托珠单抗,患者临床状况趋于稳定并有所改善。基因检测揭示 该患者携带的是杂合人类白细胞抗原DQB1 03:03及DRB1 09:01基因型病毒 。对文献及当前病例中流感相关ANE成人病例的深入分析显示,患者年龄跨度广泛(22至71岁),流感和ANE临床发作间距短暂(中位数为3天),整体死亡率居高(32%)。视丘为病变最为频发(91%)的部位。台湾高雄市长庚纪念医院暨长庚大学医学院的报告凸显了识别成人(尤以亚裔为甚)中此类虽具毁灭性但可治疗的流感神经并发症之重要性。


面对近年来重新出现和新发传染病的日益流行,包括ANE在内的与病毒感染相关的神经系统并发症的发生率预计将会增加。例如,随着COVID-19的大流行,与SARS-CoV-2相关的ANE近年来逐渐受到广泛关注。SARS-CoV2相关的ANE在症状表现、与先兆感染相关的发作时间、脑病变的典型位置、脑脊液(CSF)与血清细胞因子谱以及疾病结局等方面,与流感相关的ANE呈现出相似性。值得注意的是,在SARS-CoV2相关ANE的病例系列中,成人患者占比可能高达80%。


本报告强调了识别成人病毒感染这种毁灭性但可治疗的神经系统并发症的重要性,对易感的东亚人群有重要意义。鉴于细胞因子风暴被视为ANE的主要致病机制,激素导向疗法或为有望的治疗途径,而 单克隆抗体 可能是治疗ANE的有希望的治疗方法,亟待进一步探究。


参考文献:

Chen H, Lan SC, Tseng YL, Chang YY, Lu YT, Lan MY. Acute necrotizing encephalopathy in adult patients with influenza: a case report and review of the literature. BMC Infect Dis. 2024;24(1):931. Published 2024 Sep 9. doi:10.1186/s12879-024-09844-6