添加链接
link之家
链接快照平台
  • 输入网页链接,自动生成快照
  • 标签化管理网页链接

狗狗突然瘫痪,竟是椎间盘突出在捣鬼…不可小觑

2 年前

职业病,如今成为困扰许多上班族的疾病, 首当其冲的就是腰椎间盘突出

别以为是小病,发作起来可真要命, 尤其随着年纪的增大,它会越来越影响人们生活 ,甚至连正常活动都难以进行。



图|网络

而椎间盘突出的问题不仅困扰人类,对于宠物也是烦恼。近年来, 椎间盘突出在狗狗身上屡见不鲜 甚至很多病例中出现瘫痪症状

对于狗狗椎间盘突出的问题上, 家长能做的,就是及早发现,送医诊治。 术后需要物理复健,复健需要长久的坚持。了解疾病才能更好的带狗狗进行治疗与预防。

今天为家长们介绍一则宠爱国际 骨科专家「李青云」 院长接诊的 「犬椎间盘突出」 病例,一起来了解下:

〖 宠 爱 国 际 病 例 本 〗



图|网络

  • 宠物名:布丁
  • 性别:女孩
  • 年龄:3岁
  • 品种:柯基犬

主诉病史

狗狗突然后躯瘫痪,尿失禁 。家长回忆去年5月两只狗站立玩耍,隔天抱的时候出现惨叫,去其他医院开过止疼药,缓解一段时间。12月抱得时候惨叫,次日开始无法站立,尿失禁。之后去他院医治, 一周后出现无法自主排尿情况,需人工辅助。 平时饮食以犬粮为主,辅以零食,蔬菜等。

医院检查

临床检查: 意识水平正常,精神状态尚可,少量牙结石,触诊腹部未见明显痛感,按压腰椎有明显疼痛,有深痛反射。

一般检查: BW12kg、T38.3℃、 HR96次/分、RR24次/分、MM粉红CRT<2s。

系统检查:

1、体型正常。

2、听诊心、肺正常,心超未见明显病变,收缩功能正常。

3、左右后肢未发现明显外伤,触诊左右后肢未发现明显疼痛。

4、腰椎触诊见明显疼痛。

血常规检查



生化检查



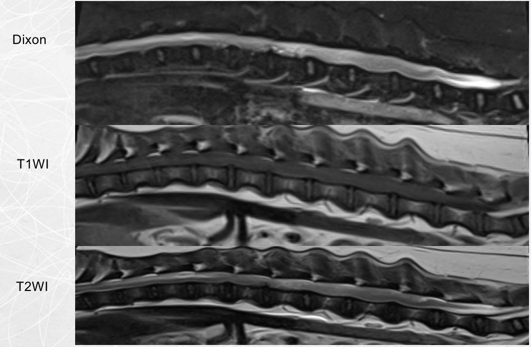
MRI检查





胸腰椎核磁检查

检查部位:胸椎/腰椎MRI平扫检查

检查序列:T1序列,T2序列,压脂序列,压水序列,共218张图⽚⽤于结果判读。

影像所⻅:

1、L1-L2蛛网膜下腔脑脊液连续性消失,椎管内脊髓左腹侧可见T1WI等信号、T2WI低 信号占位,其尾侧(L2中段水平)可见T2WI高信号结构,脊髓受压迫向右背侧移位,L2段 脊髓T2WI信号增强。

2、 T13-L1脊髓腹侧可见T1WI等信号、T2WI低信号结构。3、T13-L2、L4-L5椎间盘呈T2WI低信号。

影像印象:

1、汉森II型椎间盘突出(L1-L2),压迫脊髓及左侧神经根,后段脊髓损伤/水肿,出 血可疑,结合临床评估。

2、轻度汉森I型椎间盘突出(T13-L1)。

3、胸腰椎多处椎间盘变性。

MRI(磁共振)

MRI(磁共振)属无创伤、无射线检查 ,也无生物学损害,且软组织对比分辨率最高, 它可以清楚地分辨肌肉、肌腱、筋膜、脂肪等软组织



SIEMENS MAGNETOM ESSENZA Galaxy

临床型1.5T磁共振

检查结果分析

1、腰椎触诊见明显疼痛

2、血常规未见明显异常

3、生化结果显示ALT、ALKP升高,显示肝脏损伤

4、胸腰椎核磁扫查,见L1~L2椎间盘异常

初步诊断

L1~L2椎间盘突出

治疗方案

治疗原则

手术+止痛

全身使用抗生素

1、止痛、全身抗生素治疗

2、椎板切除

3、激素治疗

4、针灸辅助恢复

5、营养神经,促进神经修复

手术过程⬇️

点击空白处查看狗狗患病时状态



突出部位切除⬇️



影像检查⬇️





医嘱:

1、狗狗需要术后住院护理,使用抗生素控制感染,辅助营养神经药物。

2、严格笼养,需要进行物理疗法辅助恢复。

3、术后2~3周开始针灸治疗,疗程约2~3周。

4、膀胱挤压辅助排尿,采用支撑性推车有助于恢复行走,每天进行神经性检查。

狗狗术后食欲、饮欲正常,精神状态良好,术后一周,虽然出现深痛反射,但预后良好,恢复健康状态。



图|网络

L1~L2段椎间盘突出

椎间盘突出症(Intervertebral Disk Herniation, IVDH)是椎间盘退化的最终结果, 是犬发生神经功能障碍最常见的原因之一。超过 85%的椎间盘突出症患犬,发病部位在T11-T12 和 L2-L3 之间。 应用汉森氏分类法则(Hansen’s Classic Study),可以将椎间盘向背侧突出的病例分为汉森氏Ⅰ型和汉森氏Ⅱ型。

椎间盘突出症是椎间盘退化 (Intervertebral disk degeneration, IVDD)的最终结果 。随着动物年龄的增长,椎间盘退化是不可避免的,它可以导致脊椎的一系列力学性质的改变和结构性病理变化。

典型的临床症状仅是急性至亚急性的背部疼痛或是背部疼痛伴有不同程度的后肢轻瘫和后肢痛觉反射变弱

本病例出现L1~L2段椎间盘突出,可能是由于柯基长期直立玩耍,导致腰椎力学发生变化,后续引起椎间盘受力改变。 进而引发椎间盘突出。经过内科治疗一段时间后有轻度改善,但是后续开始出现急性症状,经过核磁确诊定位病变椎间盘,顺利实行手术。



通常椎间盘突出症在发病早期的症状, 包括:脊柱疼痛,后肢无力,软脚,后肢深部痛觉反射减弱等。 随着病程的发展,通常会出现后肢瘫痪、无法行走,后肢痛觉反射消失。

家长如在发现动物表现椎间盘突出症的症状时来看诊,一般会先给予一周的内科疗法配合穴位按摩来加以治疗。 根据情况进行判断,如动物在初诊前,临床表现已经出现:长期的完全瘫痪或者深部痛觉完全消失的情况,则考虑立即安排外科手术来解除神经的受压迫状态,术后考虑开立神经保护剂以及复健的方式来使神经肌肉更快的恢复。



图|网络

宠爱国际骨科

该科室拥有先进宠物骨科诊疗水平。医院从成立之初,一直重视并致力于外科人才的培养。如今已拥有强大的外科团队。医院具备的能力:骨折内固定,骨关节矫形手术,髋关节手术,膝关节手术,关节融合术,颅骨手术,关节专业化手术—全髋置换、TPLO、TTA等。另外,该科室还拥有丰富骨科诊疗方法,近几年来,积累了大量骨科疾病治疗经验,成功治疗了近千例骨折病例。 我院经常会接到其他动物医院转诊的骨科疑难病例。经过治疗得到了各位宠主高度认可。

预防方案及康复后保健措施

犬椎间盘疾病主要特征是什么?

以运动障碍为主,家长一旦发现动物出现行动时疼痛、跛行的状况, 一定要主动咨询医生进行检查,以免错过最佳治疗时机

犬椎间盘疾病为什么在中老年狗狗更易发?

幼犬髓核中的水分和蛋白多糖含量较高,纤维环中胶原含量高。随着年龄增长,椎间盘组织中的水分、蛋白多糖和胶原等生化物质发生较大变化。 加上其他因素,一般来讲,年龄越大患椎间盘疾病的几率越高。

如何预防犬椎间盘疾病呢?

犬椎间盘疾病问题并非完全可以避免,但是作为铲屎官的我们,可以将外部风险降到最低。

①避免过度激烈运动, 在家也要避免过度跳上跳下。凡事讲究个度,运动也要在适宜的范围下进行。

②保持良好体型, 太胖会导致脊椎负担过重。过度肥胖对身体的正常功能造成的影响也很大。

③改换坚固的狗绳, 而不是粗粗的皮项圈。遛狗的工具可尽量换成对狗狗椎间盘符合小的材质。皮项圈会束缚住狗狗脖子的活动不利于狗狗椎间盘健康。

④日常补钙。 软骨营养障碍、钙缺乏也是一个很重要的原因,特别是老年犬和身体细长的犬类,尤其要注意,一不小心就闪了腰的情况。

⑤定期体检。 身体检查可以用最科学直观的方式检测出狗狗是否患有椎间盘疾病。

主治医师


发布于 2021-04-01 14:03